47歲女突抓狂!無故「騎車自摔、打同事」事後忘光光 一檢查「這部位長腫瘤」:不是腦部

儘管胰臟癌不是位居國人十大癌症死因之首,但提到它也會令人聞之色變,只因為早期症狀不明顯,一旦確診大多是晚期階段。在演變成癌之前,病程會先從發炎、腫瘤等情況出現,甚至會讓患者出現奇怪行為,還以為是精神出問題!

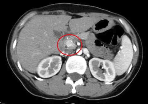
圖/翻攝自 常春月刊
根據《Yahoo奇摩新聞》報導,亞洲大學附屬醫院新陳代謝科主治醫師王子源分享個案,提及一名47歲的黃姓婦人多次出現脫序行為,兩年前開始會語無倫次及在地上翻滾,還會在停紅綠燈時從摩托車上自摔,一旁目擊的路人趕緊通報消防隊,更誇張的是,她會莫名其妙毆打同事,事後問起來卻一問三不知,家人推測是不是腦袋生病了,先帶她到精神科門診治療,怎料服藥四個多月卻沒任何改善。

圖/翻攝自 三立新聞
綜合患者的症狀,精神科醫師懷疑是不是癲癇發作,便將婦人轉診至神經內科門診,沒想到做了腦波及腦部核磁共振等多項檢查,仍遲遲找不到異常原因,直到最近做健康檢查時,意外發現患者空腹血糖值只有26mg/dl,僅有正常值(70~100mg/dL)最低標的三分之一,這才轉往新陳代謝科門診尋找病因!

圖/翻攝自 Yahoo奇摩新聞
王子源醫師安排患者住院檢查,發現72小時禁食試驗後出現低血糖,再加上血中胰島素及「C-胜鏈胰島素」(C-peptide)偏高,屬於內源性胰島素分泌過多,進一步檢查後發現胰臟的頭部有一顆約1.4公分的腫瘤,確診為「胰島素瘤」,經由手術切除後血糖逐漸恢復正常,脫序行為也不再發生,讓家屬感動表示:「撿回來了!」

圖/翻攝自 Yahoo奇摩新聞
醫師透露,胰島素瘤初期無法一眼就診斷並確認疾病,通常會等到患者出現識障礙、昏倒、發現低血糖等,才會被轉往新陳代謝科,呼籲民眾若是突然出現語無倫次或怪異行為,除了往精神科求助外,也可以到新陳代謝科就醫找答案,才不會錯過治療時間,及早治療才能恢復正常生活步調。

圖/翻攝自 聯合報
沒想到怪異行為竟然是「胰島素瘤」在作祟!
文章參考:《Yahoo奇摩新聞》





© fun.foodpara.com 2026   |   Privacy Policy